Skip to main content
 

FOTCIENCIA19

Exposición de las fotografías seleccionadas en la 19ª edición del Certamen Nacional de Fotografía Científica FOTCIENCIA. Las imágenes, divididas en las modalidades General y Micro, ilustran a partir de una visión artística y estética hechos científicos singulares descritos por sus propios autores y autoras. 

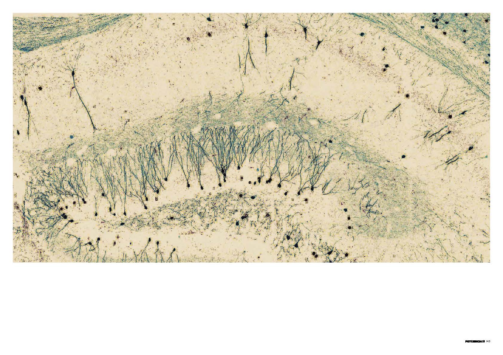
En su 19ª edición, FOTCIENCIA ha incluido una modalidad especial con motivo del Año Cajal, con imágenes relacionadas con las neurociencias. 

Ya sea general o microscópica, cada fotografía se acompaña de un texto explicativo elaborado por su propio autor o autora, quien además ha relacionado su imagen con uno de los 17 Objetivos de Desarrollo Sostenible. Los audios de estos textos pueden escucharse en IvooxSpotifyGoogle podcastApple podcast o Amazon music.

FOTCIENCIA es una iniciativa del Consejo Superior de Investigaciones Científicas (CSIC) y la Fundación Española para la Ciencia y la Tecnología (FECYT), con apoyo de la Fundación Jesús Serra, del Grupo Catalana Occidente. Para más información sobre esta y próximas convocatorias, visita la página web www.fotciencia.es.


DATOS TÉCNICOS

  • 50 cuadros. Todos tienen las mismas dimensiones (60x42cm) y están impresos en dibond de 3mm sin marco, con bastidor de aluminio en la parte de atrás. Algunos tienen orientación vertical, aunque la mayoría están en horizontal.
  • El primer cuadro se acompaña de una cartela de PVC del mismo tamaño que el cuadro con un texto de presentación de la exposición. El resto de cuadros van acompañados de una cartela independiente de PVC de 20x27cm, sin ningún elemento de sujeción, con los datos de la fotografía y el texto alusivo a ella. 
  • La muestra se complementa con un catálogo para que el público lo pueda consultar en la sala. 
  • La exposición se presta embalada en dos baúles de metal con ruedas, de 82 x 48 x 106 cm y con un peso aproximado de 60 kg cada uno. 
  • Se facilitan online los archivos para producir un tarjetón, un cartel y una lona de exterior en los que pueden incluirse los logotipos de la entidad solicitante y de la que acoge la exposición, respetando siempre los logos propios de la organización de FOTCIENCIA.

 

Apartado:

Exposición